
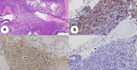
Analysis of Prognosis and Immune Microenvironment of Protein Kinase C Substrate 80K-H in Diabetic Lung Cancer Patients
World Journal of Oncology
Vol. 17, No. 2, Apr 2026, pages 157-177
By Xiang Ying Li et al.

World Journal of Oncology
Vol. 17, No. 2, Apr 2026, pages 157-177
By Xiang Ying Li et al.

Journal of Clinical Medicine Research
Vol. 18, No. 2, Feb 2026, pages 83-98
By Yi-Chieh Tseng et al.

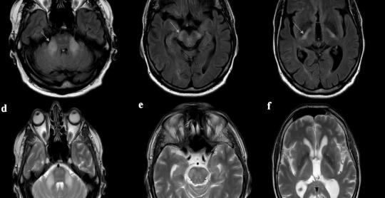
Journal of Neurology Research
Vol. 15, No. 4, Dec 2025, pages 149-164
By Meng Kiat Tan

Cardiology Research
Vol. 17, No. 1, Feb 2026 pages 1-9
By Takashi Hitsumoto

Journal of Endocrinology & Metabolism
Vol. 16, No. 1, Feb 2026 pages 1-14
By Amedeo Lonardo et al.

Journal of Medical Cases
Vol. 17, No. 4, Apr 2026, pages 146-152
By Caryn Louise D. Gutierrez et al.

Gastroenterology Research
Vol. 19, No. 1, Feb 2026, pages 43-53
By Tadayuki Oshima et al.

Journal of Hematology
Vol. 15, No. 1, Feb 2026, pages 1-12
By Chang Cheng Zheng
Since 2008, Elmer Press strives to provide the international academic community with maximized quality scientific information throughout a wide spectrum of disciplines. Elmer Press understands how hard, and rigorously scientific information is obtained while relentlessly ensuring it is delivered in the quality and urgency it needs and deserves.
Through peer-reviewing, editing, and publishing, Elmer Press is committed to making sure every scientific discovery is heard with accuracy, presentability, and appropriate credibility. Our open access Journals are both peer-reviewed, and international, dedicated to the rapid academic exchange, focusing on clinical medicine in various disciplines.
Elmer Press is an open access medical publishing company based in Toronto, Canada, founded in 2008. With over a long history of experience in the publishing industry, we have established ourselves as a leading provider of high-quality publishing services to clients worldwide. Our team of experienced editors, designers, and project managers work closely with authors, researchers, and medical specialists to produce medical journals, books, and other publications that are both informative and engaging.
At Elmer Press, we are committed to maintaining the highest standards of quality and professionalism in all of our work. We use the latest technology and best practices in the industry to ensure that our clients receive the best possible service and results. Whether you are an author, medical professional, or researcher, we are dedicated to helping you achieve your goals and share your work with the world.